Jeden pohľad na toto roztomilé antarktické stvorenie človeka ihneď rozcíti.
Zvieratká vyzerajú akoby boli oblečené v smokingu. Typický je pre nich ich hojdavý pohyb zo strany na stranu, no keď sa dostanú do vody, málokto ich predbehne.
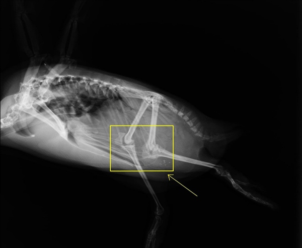
Na röntgenovýh snímkach uvidíte, čo skrývajú pred svetom.
viralnova.com
viralnova.com
Áno vidíte dobre. Hoci sa na prvý pohľad zdá, že tučniaky majú dolné končatiny obmedzené len na chodidlá, pod povrchom sa skrýva ich zvyšná časť.
Takéto dlhé nôžky má tučniak v skutočnosti.
zenheart.hk
Dušana Lukáčová/ fotografia: aktifmag.com
Súvisiace články:
Jediná hnedá panda na svete - takto vyzerá jej pokojný život v rezervácii
Vojna nemusí byť vojnou. Stačí vymeniť zbrane za kvety
Čítaj slovenské správy pohodlne aj v mobile. Stiahni si aplikáciu Slovak news reader



